Artrose do Joelho: Entenda as Causas, Sintomas e os Tratamentos Mais Modernos

Descubra as causas subjacentes, reconheça os sintomas e explore as opções de tratamento mais avançadas para a artrose do joelho.

A artrose do joelho, também conhecida como osteoartrite ou gonartrose, é uma das queixas mais comuns nos consultórios de ortopedia. Caracterizada pelo desgaste progressivo da cartilagem que reveste a articulação, essa condição pode causar dor, rigidez e limitação de movimento, impactando significativamente a qualidade de vida. Se você sente desconforto no joelho ou já recebeu esse diagnóstico, este guia completo irá ajudá-lo a entender tudo sobre o problema, desde suas causas até as mais inovadoras opções de tratamento disponíveis hoje.

1 - Causas e Fatores de Risco da Artrose do Joelho

A artrose ocorre quando a cartilagem articular, o tecido liso e protetor nas extremidades dos ossos, se desgasta com o tempo. Sem essa proteção, o atrito entre os ossos aumenta, causando dor e inflamação. Diversos fatores podem acelerar esse processo:

  • Envelhecimento: É o fator de risco mais comum. Com a idade, a cartilagem perde sua capacidade de regeneração e se torna mais frágil.

  • Lesões Articulares Prévias: Fraturas, lesões de menisco ou de ligamentos (como a do Ligamento Cruzado Anterior - LCA) alteram a mecânica do joelho e aumentam a probabilidade de desenvolver artrose no futuro.

  • Obesidade e Sedentarismo: O excesso de peso corporal aumenta a carga sobre a articulação do joelho. Cada quilo a mais de peso corporal exerce uma pressão de 3 a 4 quilos extras sobre os joelhos.

  • Genética: A predisposição para desenvolver artrose pode ser herdada. Se seus pais ou avós tiveram a doença, suas chances são maiores.

  • Sobrecarga Articular: Atividades profissionais ou esportivas de alto impacto, realizadas de forma repetitiva por anos, podem levar ao desgaste prematuro da cartilagem.

  • Doenças Reumáticas: Condições como artrite reumatoide podem causar uma inflamação crônica que destrói a cartilagem.

2 - Sintomas da Artrose do Joelho: O que Você Deve Saber

Os sintomas da artrose geralmente se desenvolvem de forma lenta e pioram com o tempo. Fique atento aos seguintes sinais:

  • Dor: Geralmente piora com o movimento (caminhar, subir escadas) e melhora com o repouso. Em fases avançadas, a dor pode ser constante.

  • Rigidez: Sensação de "joelho duro", especialmente pela manhã ou após longos períodos de inatividade.

  • Inchaço (Edema): Pode ocorrer um acúmulo de líquido na articulação, principalmente após esforço.

  • Redução da Amplitude de Movimento: Dificuldade para dobrar ou esticar completamente o joelho.

  • Crepitação: Estalos ou rangidos ao mover a articulação, causados pelo atrito entre as superfícies irregulares dos ossos.

Esses sintomas podem transformar tarefas simples como caminhar no parque, agachar para pegar um objeto ou até mesmo dirigir em um desafio doloroso.

3 - Diagnóstico da Artrose do Joelho: Exames e Avaliações

Raio-X de joelho com artrose avançada

Figura 3 - Radiografia em AP com carga demonstrando redução do espaço articular, osteófitos, esclerose subcondral e deformidade em varo (joelhos para fora).

Um diagnóstico preciso é o primeiro passo para um plano de tratamento eficaz. A avaliação é baseada em três pilares:

  1. História Clínica e Exame Físico: Durante a consulta, irei ouvir suas queixas, entender como os sintomas afetam seu dia a dia e realizar um exame físico detalhado para avaliar a dor, o inchaço, a mobilidade e a estabilidade do seu joelho.

  2. Radiografias (Raio-X): São o exame inicial mais importante. As imagens podem mostrar a diminuição do espaço articular (indicando perda de cartilagem) e a presença de osteófitos, popularmente conhecidos como "bicos de papagaio".

  3. Outros Exames de Imagem: Em casos específicos, uma Ressonância Magnética (RM) pode ser solicitada para avaliar com mais detalhes a cartilagem, meniscos, ligamentos e outras estruturas moles do joelho.

4 - Tratamentos Mais Modernos para a Artrose do Joelho

Felizmente, existem diversas opções de tratamento, que vão desde medidas conservadoras até procedimentos cirúrgicos avançados. O objetivo é sempre aliviar a dor, melhorar a função e devolver a qualidade de vida.

Tratamentos Conservadores (Não Cirúrgicos)

Esta é a primeira linha de abordagem, especialmente em casos leves a moderados:

  • Mudanças no Estilo de Vida: Perder peso é uma das medidas mais eficazes para reduzir a pressão sobre os joelhos. A prática de exercícios de baixo impacto, como natação, hidroginástica e ciclismo, também é fundamental.

  • Fisioterapia: Programas de fortalecimento muscular (principalmente do quadríceps) e alongamento ajudam a estabilizar a articulação e melhorar a mobilidade.

  • Medicamentos: Analgésicos e anti-inflamatórios podem ser prescritos para controlar a dor e a inflamação em períodos de crise.

  • Ablação por Radiofrequência dos Nervos Geniculares: É um procedimento minimamente invasivo para o tratamento da dor crônica. Ele utiliza uma corrente elétrica de alta frequência para gerar calor e "queimar" (cauterizar) seletivamente os pequenos nervos sensoriais que transmitem os sinais de dor de uma articulação, como o joelho, para o cérebro.

  • Injeções Intra-articulares (Infiltrações):

    • Corticosteroides: Oferecem um alívio rápido e potente da inflamação, ideal para crises de dor intensa.

    • Ácido Hialurônico (Viscossuplementação): Atua como um "lubrificante" para a articulação, melhorando o deslizamento e aliviando a dor em muitos pacientes.

    • PRP (Plasma Rico em Plaquetas) e Células-Tronco (Aspirado de Medula Óssea ou BMA): São as fronteiras da medicina regenerativa. Essas terapias utilizam o potencial de cura do próprio corpo para reduzir a inflamação e estimular a reparação tecidual, sendo uma opção promissora para casos selecionados.

Tratamentos Cirúrgicos

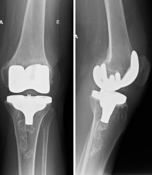
Radiografia pós-operatória de prótese total do joelho.

Figura 4 - Radiografia pós-operatória de prótese total do joelho.

Quando os tratamentos conservadores não são mais suficientes para controlar os sintomas, a cirurgia pode ser a melhor solução:

  • Artroscopia: Procedimento minimamente invasivo para "limpar" a articulação, remover fragmentos de cartilagem, corpos livres ou reparar lesões de menisco associadas. Sua indicação para o tratamento isolado da artrose é limitada.

  • Osteotomia: Cirurgia que realinha o osso da perna para transferir a carga da área desgastada para uma área mais saudável da articulação. É geralmente indicada para pacientes mais jovens e ativos com artrose em apenas um compartimento do joelho.

  • Artroplastia (Prótese de Joelho): É a substituição da articulação danificada por um implante artificial. Pode ser parcial (quando apenas uma parte do joelho é substituída) ou total. A prótese é um dos procedimentos mais bem-sucedidos da medicina moderna, oferecendo alívio duradouro da dor e a restauração da função para pacientes com artrose avançada.

5 - Prevenção e Gerenciamento da Artrose do Joelho

Embora nem sempre seja possível evitar a artrose, algumas medidas podem retardar sua progressão e ajudar a gerenciar os sintomas:

  • Mantenha um peso saudável.

  • Pratique exercícios de baixo impacto regularmente.

  • Fortaleça os músculos que sustentam o joelho.

  • Evite atividades que causem dor ou sobrecarga excessiva.

  • Adote uma dieta balanceada e anti-inflamatória.

Conclusão: Um Passo de Cada Vez Rumo a uma Vida Sem Dor

A artrose do joelho é uma condição crônica, mas está longe de ser uma sentença de imobilidade. Com um diagnóstico correto e um plano de tratamento personalizado, é possível controlar a dor, recuperar a mobilidade e manter um estilo de vida ativo e saudável. Desde mudanças no estilo de vida e terapias regenerativas até cirurgias de alta tecnologia, o caminho para o alívio existe.

Não deixe a dor no joelho controlar sua vida. Um especialista pode avaliar seu caso individualmente e indicar a melhor abordagem terapêutica para você.

Se você está sentindo algum desses sintomas ou busca uma segunda opinião, agende uma consulta. Vamos juntos traçar o melhor plano para a saúde do seu joelho.

Marque sua Consulta
Próximo
Próximo

Lesão do Ligamento Cruzado Anterior (LCA): O Guia Completo do Diagnóstico à Recuperação